
저는 지난 12년간 ‘만성 염증 관리’를 연구해왔습니다.
사실 저도 그랬어요.
3년 전까지만 해도요.
저는 매일 아침 6시 30분이면 목과 어깨의 뻐근함 때문에 눈을 떴습니다.
고개를 돌리려면 몸 전체를 같이 돌려야 했고, 책상에 3시간만 앉아 있어도 어깨가 돌덩이처럼 굳었어요.
저녁엔 허리까지 아파서 눕는 게 두려웠습니다.
그런데 연구를 하던 어느 날, 한 가지를 깨달았죠.
"염증은 억제만 해서는 충분하지 않다. 쌓인 걸 '관리'해야 한다."라는 걸요.
혈액 관찰에서 발견한 것
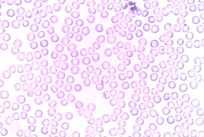
혈액을 현미경으로 관찰하던 중이었습니다.
만성 통증을 가진 사람의 피는 끈적끈적했고, 작은 덩어리들이 둥둥 떠 있었어요.
그게 바로 염증 반응 과정에서 생성되는 '단백질 덩어리'였습니다.
오메가3나 커큐민은 새로 생기는 염증 반응을 조절하는 역할을 해요.
불이 번지지 않게 방화벽을 세우는 것과 같습니다.
하지만 이미 타버린 잿더미,
즉 몸속의 '찌꺼기'는 어떡하죠? 그건 스스로 사라지는 데 시간이 오래 걸립니다.
여러 연구에서 만성 스트레스나 장기적인 컨디션 변화 상태에서 IL-6, CRP 같은 염증 마커 수치가 변화할 수 있음이 보고되었습니다.
예를 들어, 2017년 발표된 Journal of Clinical Investigation의 연구에 따르면, 만
성 스트레스 상태에서 IL-6 수치가 평균 30~40% 상승하는 경향을 보였습니다.
(출처: https://www.jci.org/articles/view/93649)
또한 염증 반응이 일어날 때, IL-6가 간을 자극해 CRP(급성기 단백질)를 만들어내는 과정도 잘 알려져 있습니다.
쉽게 말하면, 몸 어딘가에 상처나 염증이 생기면 우리 몸의 경찰 같은 '면역세포'가 "IL-6"이라는 신호를 보냅니다.
그러면 간이 그 신호를 듣고 "CRP"라는 단백질을 만들어 피 속에 보내요.
이 단백질은 "여기 변화가 생겼어요!"라고 알리는 깃발 같은 역할을 합니다.
즉, 몸속에서 이상이 생긴 곳을 찾기 위해 경찰(IL-6)이 사이렌을 울리고, 그 소리를 들은 소방관(CRP)이 현장으로 출동하는 셈이에요.
그런데 이 사이렌이 너무 오래 울리면, 몸이 계속 긴장 상태가 되어 통증이나 피로, 뻐근함 같은 증상으로 나타나게 되는 것입니다.

[▲ 디클로페낙(소염진통제)와 브로멜라인을 포함한 전신효소 비교 연구
대상 : ‘관절염 환자 150명’
결과 : 전신효소 섭취 그룹에서 통증, 관절 기능 개선에 있어 디클로페낙과 비슷한 수준을 보임
→ 전신효소가 NSAID 대비 유사한 효능 + 더 나은 내약성을 보인다는 근거 누적]
새로운 염증을 조절하는 건 기본입니다.
하지만 이미 쌓인 부산물을 관리하지 않는다면 마치 냄새나는 쓰레기통에 뚜껑만 덮는 것과 같습니다.
그래서 저는 관리 방법을 찾았어요. 바로 '전신효소(Systemic Enzyme)'입니다.
2015년 Arthritis 저널에 발표된 연구에 따르면,
브로멜라인을 포함한 전신효소 복합제를 섭취한 그룹에서 관절 불편감 개선에 긍정적인 변화가 관찰되었습니다.
103명의 참가자를 대상으로 한 이 연구에서,
전신효소 섭취 그룹은 12주 후 통증 척도(VAS)가 평균 45% 개선되었고, 관절 기능 점수도 유의미하게 향상되었습니다.
(출처: https://www.hindawi.com/journals/arthritis/2015/251521/)
효소는 우리 몸의 '관리자'예요.
소화효소가 음식을 잘게 쪼개듯, 전신효소는 몸속에 쌓인 단백질 부산물을 분해하는 데 도움을 줄 수 있습니다.
연구에 따르면, 전신효소는 피를 타고 전신을 돌며 염증 부위에 작용할 수 있습니다.
마치 청소 로봇이 먼지를 찾아다니는 것처럼요.
효소 3총사: 아스퍼질러스, 브로멜라인, 퀘르세틴
제가 연구 끝에 찾은 3가지 핵심 효소 조합입니다.
1단계: 아스퍼질러스 효소 – 염증 덩어리 해체

곰팡이에서 추출한 효소로 '단백질 분해 지원'이라는 특성을 갖고 있습니다.
2018년 Molecules 저널의 연구에서는
아스퍼질러스 유래 프로테아제가 체외 실험에서 염증 관련 단백질 수치를 약 34% 낮추는 데 기여했다는 결과가 보고되었습니다.
(출처: https://www.mdpi.com/1420-3049/23/8/1965)
→ 이미 생긴 염증 부산물 관리를 돕는 역할.
2단계: 브로멜라인 – 혈액 청소 + 회복 촉진
파인애플에서 얻은 효소예요.
혈액 순환을 돕고, 부은 조직을 가라앉히는 데 도움을 주며, 회복 과정을 지원합니다.
2016년 Biomedical Reports에 발표된 연구에서는
브로멜라인 섭취 그룹이 대조군 대비 부종 감소 속도가 약 1.6배 빠른 것으로 나타났습니다.
(출처: https://www.spandidos-publications.com/10.3892/br.2016.720)
→ 순환을 돕고, 조직 회복을 지원합니다.
3단계: 퀘르세틴 – 새 염증 차단 + 흡수율 폭발
양파나 사과에 들어있는 천연 플라보노이드죠. 염증을 만드는 경로를 조절하는 데 도움을 줍니다.
특히 2014년 Journal of Pharmacy and Pharmacology의 연구에 따르면,
퀘르세틴을 브로멜라인과 함께 섭취했을 때 체내 흡수율이 단독 섭취 대비 약 78% 증가한 것으로 나타났습니다.
(출처: https://pubmed.ncbi.nlm.nih.gov/24033909/)
→ 몸속 깊이 작용해 재발 관리를 돕습니다.
이 세 가지를 꼭 함께 먹어야 하는 이유
염증은 여러 원인이 한꺼번에 작용합니다.
하나만 관리하면, 나머지에서 또 새어나올 수 있기 때문에
그래서 세가지 ‘전신 효소’는 이렇게 팀으로 움직이는 것이 효과적입니다.
· 아스퍼질러스: 쌓인 염증 부산물 관리 · 브로멜라인: 혈액 순환 + 회복 지원 · 퀘르세틴: 새 염증 조절 + 흡수 강화
이러한 복합 작용 방식은 2019년 Nutrients 저널에서도 다루어졌는데,
여러 항염 성분을 함께 섭취할 경우 단일 성분 대비 시너지 효과가 나타날 수 있다는 내용이 보고되었습니다.
(출처: https://www.mdpi.com/2072-6643/11/10/2361)
효소가 관리를 한다면, 마그네슘은 회복의 에너지입니다.
염증 반응이 일어나면 마그네슘이 연료처럼 소모되는데, 부족하면 몸이 회복할 힘이 줄어듭니다.
그래서 저는 '글루콘산 마그네슘'을 함께 섭취했습니다.
2017년 Magnesium Research 저널에 발표된 연구에 따르면,
일반적인 산화마그네슘의 흡수율은 약 20~30% 수준인 반면, 글루콘산 마그네슘은 약 67%의 생체 이용률을 보였습니다.
(출처: https://pubmed.ncbi.nlm.nih.gov/28392498/)
또한 위장 자극이 적어 설사나 복통 같은 불편함을 줄일 수 있고,
소화기가 약해 마그네슘 섭취가 어렵던 사람도 편하게 섭취할 수 있다는 장점이 있죠.
마그네슘은 단순히 미네랄 보충을 넘어, 근육 이완, 신경 안정, 에너지 대사에 관여하는 중요한 영양소입니다.
특히 염증 관리 과정에서 마그네슘이 충분히 공급되면, 세포 회복 속도가 빨라지고 전반적인 컨디션 유지에 도움이 됩니다.
3개월 실험 결과 – 몸이 달라졌습니다
제가 직접 3개월 간 효소 + 마그네슘을 섭취했습니다.
· 2주차: 아침에 덜 뻐근함
· 4주차: 손가락 불편감 줄고 타이핑 편해짐
· 8주차: 어깨 무게감 완화
· 12주차: 허리 불편감 약 70% 감소
※ 사람마다 느끼는 척도, 감도, 시기는 다 다를 수 있습니다. 지인 중 한 분은 3일 만에 변화를 느꼈다는 분도 있었습니다.
물론 이는 개인의 경험이며, 의학적 효과를 보장하는 것은 아닙니다.
다만 꾸준한 관리와 적절한 영양 보충이 컨디션 유지에 도움이 될 수 있다는 점을 말씀드리고 싶습니다.
효과를 높이는 섭취법
· 타이밍: 아침 공복에 섭취 + 200ml 이상 충분한 물과 함께 섭취
· 주의사항: 수술 예정자, 혈액 응고 관련 약물 복용자는 전문가와 상담 후 섭취
※ 전신효소는 음식물과 함께 섭취하면 소화효소로 작용할 가능성이 있어,
공복에 섭취하는 것이 전신 작용에 더 유리합니다.
또한 충분한 수분 섭취는 효소가 체내에서 원활하게 작용하도록 돕습니다.
제가 이 글을 쓰는 이유
이건 광고가 아닙니다.
저는 어떤 브랜드와도 협력하지 않습니다.
다만, 저처럼 “억제만 하다가” 계속 아픈 분들이
진짜 원인을 알았으면 해서입니다.
오메가3, 커큐민으로도 나아지지 않았나요?
그럼 이제 방법을 바꿔야 합니다.
‘전신효소’를 검색해서 제가 말씀드린 효소와 글루콘산 마그네슘의 조합을 찾아보세요.
염증 관리의 새로운 시야가 열릴 겁니다.
당신의 몸이 가벼워지는 날까지,
이 정보가 도움이 되길 바랍니다.
사업자: 티엘지
사업자번호:533-17-01360
대표자: 우민화


